
![]() |
国产进口 : 进口 产地品牌 : 美国/NeuroIndx 型 号 : UnipicK Plus |
总访问 : 2577 产品类别 : 细胞分析仪 最后更新 : 2026-02-05 18:27:58 |

多用途和高性价比的——
通用细胞组织显微采集和释放系统

单细胞采集
组织显微切割
细胞克隆扩增
细胞组织特异性研究
NGS 和 - 组学分析
目前仍无实用快速的技术可以用来从细胞培养直接采集感兴趣的单细胞用作下游单细胞分析和再培养。同样,异质性组织采集特异性的组织区域或单细胞仍然具有挑战性。现有的技术,包括流式细胞筛选和激光辅助的技术,都很昂贵,复杂,并且在使用上有各样的局限性。
UnipicK PlusTM 是由美国NIH 资助研发的新一代单细胞和组织采集和释放系统。该系统性能独特,使用专利保护的脉冲负压为动力,玻璃毛细管为工具,可以和大部分倒置显微镜配合使用,可以快速和精确地直接从常规细胞培养板采集单细胞或细胞克隆,并且对细胞活性影响轻微。采集的细胞可以再培养,和用作下游各种单细胞分析。
该系统还可以从复杂异质性组织,比如脑组织,根据组织病理学,荧光标记和解剖学,采集单细胞和特异性的解剖学区域。
UnipicK PlusTM 采集的样品可广泛用于下游诸多领域的现代分子生物学技术,包括但不限于定量RT-PCR,全基因表达,表观遗传学,单细胞测序和蛋白质组学研究等。
该系统与已有的技术相比价格低,一机多用,经济实惠,性价比高,容易使用,简单快捷,耗材便宜,采集成本低。仪器不需要专门的维护,结实耐用。

操作简便,容易上手
单细胞分辨率
组织显微切割
可采集贴壁,悬浮和三维细胞培养
采集的细胞保持高活性
高品质RNA 和蛋白质用于下游各种组学分析
灵活性和多用途
经济实惠,高性价比
采集成本低
UnipicK PlusTM:通用细胞组织采集和释放系统
UnipicK PlusTM 安装在可以调节高度和宽度的通用支架上,可以搭载实验室现有的大部分倒置显微镜,使普通显微镜瞬间升级为显微采集平台。

完全数字信号操控系统,可以直视毛细管移动距离,压力大小,更精准!更直观!
独具匠心的程序设计,触摸屏+快捷键操控,更容易!更轻松!
配备压力泵,采集到的样品可以直接被正压吹入下游容器,更省时!更快捷!
更多亮点

多用途—从细胞培养和组织切片采集样品
低损伤—样品损伤轻微,细胞可再培养
灵活性—和几乎所有倒置显微镜兼容
性价比—无与伦比
再校对功能—更高效,更快速
新增正压泵—转移样品更方便,更快捷
全数字控制系统—更精准,更直观
触摸屏快捷键操作系统—更容易,更轻松
侧移采集单元—更换采集毛细管更方便
从细胞培养到单细胞采集

现有的单细胞获取技术往往需要大量的细胞样品,成本高昂,前期需要繁琐的样品处理,并且是随机采集,结果经常不理想。
UnipicK PlusTM 提供了一个全新的单细胞采集方法,可以在显微镜直接观察下,采集到看到的,最想要的细胞,整个过程都在用户控制和监测中。
系统荧光兼容,可以根据荧光标记,细胞形态学,和位置来采集感兴趣的细胞。
系统可用于细胞培养的所有主要类型,包括贴壁细胞培养,悬浮细胞培养,和三维细胞培养,涵盖了生命科学的所有领域。
实验室常规的细胞培养器皿可以直接用以采集,不需要特制的培养板,样品不需要预处理。
采集过程对细胞损伤轻微,采集到的细胞仍然保持活性,可以再培养。

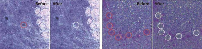
微切割组织切片
UnipicK PlusTM 可以为切割5-300 微米厚的组织切片,活组织,新鲜冷冻,蔗糖处理和固定过的组织都可以使用该系统。

采集过程不涉及热,辐射,激光和化学处理。从UnipicK PlusTM 采集到的组织,可以获取高质量的核酸和蛋白质,可用于下游各种现代分子生物学和组学分析。
样品不用特别处理,减少样品处理时间,高效省时,更好保持样品的品质。
UnipicK PlusTM 不但可以从组织切片采集特异性区域,还可以采集单个细胞。
该系统荧光兼容,可以根据荧光标记,病理学和解剖学特征采集感兴趣的组织区域和细胞。
快速,简便,精准!


滔博生物TOP-Bright是一家集研发,生产,销售于一体的专注于神经科学产品及致力于向高校、科研机构等领域提供实验室一体化方案的高科技企业。业务服务范围已遍布至全国各地几百家实验室。
目前公司主营产品是享誉全球的国际一线领导品牌,主要有:Inscopix自由活动超微显微成像系统,DiveScope多通道活体内窥镜系统,功能神经外科电生理平台,动物行为系统(自身给药、条件恐惧、斯金纳、睡眠剥夺、经典迷宫等),PiezoSleep无创睡眠检测系统,NeuroNexus神经电极,电生理信号采集系统,膜片钳系统,双光子显微镜,单细胞和组织显微采集系统等。这些仪器设备都是科学研究所必备且不可替代的基础仪器之一。
10
12
该公司的相关产品
友情链接 FRIENDLY LINK
申请友情链接 》